Hi-Tech Cataract Surgery Options

Cataract surgeries today offer a range of advanced techniques that greatly enhance both safety and visual outcomes. The most widely used method is Phacoemulsification, where ultrasonic energy is used to break up the cloudy lens, which is then gently removed and replaced with a clear intraocular lens (IOL). This method allows for a smaller incision, faster healing, and excellent post-surgery vision.

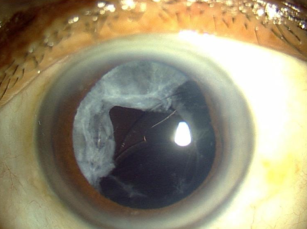
Difficult Cataract Surgeries : Posterior Polar Cataract

Posterior polar cataract pre operative eye condition in Trivandrum

Pre-Operative

Posterior polar cataract post operative result after surgery in Kerala eye hospital

Post-Operative

Phacoemulsification
(Keyhole Cataract Surgery)

A minimally invasive technique using ultrasound to break and remove the cloudy lens through a tiny incision. Recovery is faster with less discomfort.

Types of Intraocular Lenses (IOLs)

Types of Intraocular Lenses (IOLs)

Foldable IOLs

Easily inserted through small incisions and unfold inside the eye.

Aspheric IOLs

Designed to reduce glare and improve contrast sensitivity, especially in low light.

Toric IOLs

Correct pre-existing astigmatism for clearer vision.

Multifocal IOLs

Provide vision at near, intermediate, and far distances, reducing dependency on glasses.

Accommodating IOLs

Mimic natural focusing ability, shifting slightly inside the eye for different focal points.

Rigid IOLs

Requires larger incision and sutures; rarely used now but still applicable in specific cases.

Refractive Cataract Surgery Options

Refractive Lens Exchange (RLE)

Similar to cataract surgery, but performed to correct vision in non-cataract patients.

Presbyopic Lens Exchange

Specifically done to correct age-related near vision loss using multifocal or accommodating IOLs.

Limbal Relaxing Incisions (LRI)

Small incisions made at the edge of the cornea to reduce astigmatism.

Implantable Contact Lens(ICL) Surgery

An additional lens is implanted without removing the natural lens — ideal for patients
with high refractive errors unsuitable for LASIK or similar procedures.

Secondary IOL Surgeries

AC IOL Implantation

Lens is fixed in the anterior chamber when posterior capsule support is lacking.

Iris-Fixated IOL Implantation

The lens is clipped to the iris when capsular support is poor.

Scleral Fixated IOL (SFIOL)

Sutured : IOL is stitched to the sclera.

Sutureless (e.g., Glued IOLs) : IOL is secured using tissue adhesive techniques

Other IOL - Related Procedures

IOL Repositioning

Adjusting a lens that has shifted after initial placement

IOL Exchange /Explantation

Removal and replacement of a lens due to complications or dissatisfaction.

Management of IOL Complications

Dislocation: Misalignment of the lens can cause blurred or double vision.

IOL-related Symptoms: Such as glare, halos, or dissatisfaction with visual quality, especially in multifocal IOLs.

Surgery for Malpositioned IOL

Malpositioned IOL pre operative eye condition in Trivandrum

Pre-Operative

Corrected IOL position after surgery in Kerala eye hospital

Post-Operative

Dislocated intraocular lens before surgery Trivandrum

Pre-Operative

IOL reposition surgery result after treatment Kerala

Post-Operative

Sunset Syndrome

Sunset syndrome intraocular lens displacement before surgery

Pre-Operative

Sunset syndrome corrected after eye surgery Kerala

Post-Operative

Sunset syndrome IOL malposition before treatment Trivandrum

Pre-Operative

IOL reposition after sunset syndrome surgery Kerala

Post-Operative

Post PPL- AB - Externo 4 Point Sutured Scleral Fixation

Visual Rehabilitation of a patient born with Congenital cataract and had undergone Pars Plana Lensectomy 25 years back. The patient was visually rehabilitated by a modified Sutured Scleral Fixation Surgery

Scleral fixation surgery procedure step 1 in Trivandrum
Sutured scleral fixation intraocular lens placement Kerala
Post PPL scleral fixation surgical technique eye care
Visual rehabilitation after scleral fixation surgery Kerala

YAG Laser

YAG laser anterior capsular relaxing incision for a patient with Retinitis Pigmentosa who had a severe Capsular bag contracture and Phimosis of the capsulorrhexis

Retinitis pigmentosa eye condition before YAG laser treatment
YAG laser treatment result for retinitis pigmentosa patient

Benefits & Aftercare

With advanced techniques and technology, cataract surgery today offers exceptional visual outcomes and faster recovery. Most patients experience noticeable improvement in vision within 24 to 48 hours, with success rates exceeding 95% and minimal discomfort. Many also enjoy reduced dependency on glasses and feel safer during tasks like night driving or reading in dim light.

Post-surgery care typically includes the use of antibiotic and anti-inflammatory eye drops, wearing protective eyewear, and following recovery guidelines. These may involve avoiding strenuous activities, not rubbing the eyes, and staying away from dust, wind, or swimming until the eye has healed. While most people recover quickly, full healing may take a few weeks, during which follow-up appointments are essential to monitor progress and ensure optimal results.

Book Appointment Book Appt. Call Now Doctors Whatsapp